众力资讯网

说一个很多人不知道的真相:现在很多人做胸部CT检查,几乎都会查出肺结节。 我

说一个很多人不知道的真相:现在很多人做胸部CT检查,几乎都会查出肺结节。


我上周陪表姐做CT,她盯着报告上那三个字,肺结节,手一直在抖,这种事我见得多了,医院放射科每天都有人攥着片子问,医生这东西会变癌吗,要多久,其实很多检查结果,根本没那么严重。
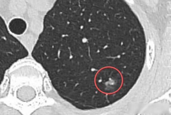
肺结节就像蚊子叮完皮肤留下的小包,多数是身体自己好起来的痕迹,你吸的每一口空气里都有灰尘、花粉、细小的细菌,它们进了肺,免疫系统就动手清理,清理完留下一点小疤,CT一照就成了白点,跟皮肤伤口结痂后变的色印一样,这些小疤不会要命。

我老邻居张叔,十年前体检发现右肺有个四毫米的结节,他每年去查三次,去年医生说不用再查了,那团影子自己没了,这种事在医学上挺常见,很多结节就像鼻涕泡,身体自己调理好了,它就散了,也有不散的,比如我爷爷肺里有个五毫米的钙化点,从发现到走,三十年都没变过,临终前拍的CT,它还在原来的地方。

真正要小心的恶性结节,跟中彩票差不多少,从细胞开始异常,到长成肿瘤,一般得五到七年,就像地里埋下的种子,前两年顶多冒点嫩芽,再过几年才长成小树苗,这时候发现,做个微创手术,就能把根除掉,我去年接诊一个病人,肺里有个零点八厘米的结节,已经有点不对劲,做完手术,五年复查,一切都没问题。

很多人拿到CT报告就睡不着吃不下,其实没必要,就像皮肤上长了痣,先别忙着去掉,拍张照片定期看看就行,最重要的是找靠谱的医生看看是什么情况,该盯就盯,该治就治,担心太多,耗的力气往往比结节本身还大。