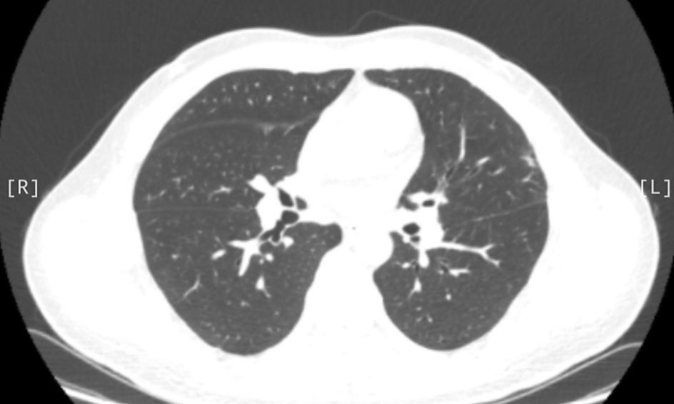
换了药后,肺结节就消失了!44岁的男性,在今年4月底查出肺部有个部分实性结节,吃了点消炎药没见好,5月初再拍CT,发现结节居然还长大了! 他当时就急了,火急火燎赶到门诊,担心是不是要转移了,催着我赶紧安排手术。 我仔细看了他的片子,从形态上看,更像是炎症,不像肿瘤。所以还是劝他先别急着开刀,建议他换一种抗感染药再试试,也鼓励他放宽心,按时复查。 结果最近他来复查——原来的病灶明显吸收了!说明这确实就是个炎症,之前只是药没用对。 真是替他高兴!他们夫妻俩不停说谢谢,开开心心回家了。 我经常说一句话:“肺结节别轻易开刀”。虽然我是胸外科医生,主要就是做手术的,但还是经常劝大家要冷静,能不切先不切。 现在很多人一查出肺结节就紧张得不行,吃不下睡不着,总觉得切掉就没事了。但实际上,如果没必要做手术,这一刀下去,肺功能可能会受影响,有的人术后还会长期咳嗽、胸痛,其实挺受罪的。 事实上,大多数肺结节都是良性的,真正是恶性的比例很低,大概只有5%-10%。而且即便是恶性,很多也发展得非常慢,定期观察很安全。哪怕后来真有变化,到时候再做手术,效果也是一样的。 所以,查出肺结节先别慌,找专业医生看清楚,很多时候真的不必急着那一刀。[玫瑰][谢谢]胸外科乔贵宾医生肺结节[超话]


