众力资讯网

关注老年脑健康,脑部磁共振检查及早筛查脑血管风险

脑血管系统在老化过程中持续退变,并可能在多种基因环境因素作用下加速发展,在严重的卒中事件发生之前,通常病人脑内已有长期的

脑血管系统在老化过程中持续退变,并可能在多种基因环境因素作用下加速发展,在严重的卒中事件发生之前,通常病人脑内已有长期的血管病理改变,可表现为血脑屏障通透性增加、动脉粥样硬化、动脉瘤、管壁淀粉样蛋白沉积等。MRI对于上述血管病理改变较为敏感,可在筛查预警中发挥重要作用。

但许多上了年纪的老年人都有头晕、头痛等症状,到医院看病甚至主动要求检查头部CT或头部核磁平扫,其实,对于老年人来说,脑血管检查尤为重要,我院影像科应院内外的患者实际需求,开展了“一站式”脑部核磁共振检查项目。

1、什么是“一站式”脑部核磁检查?

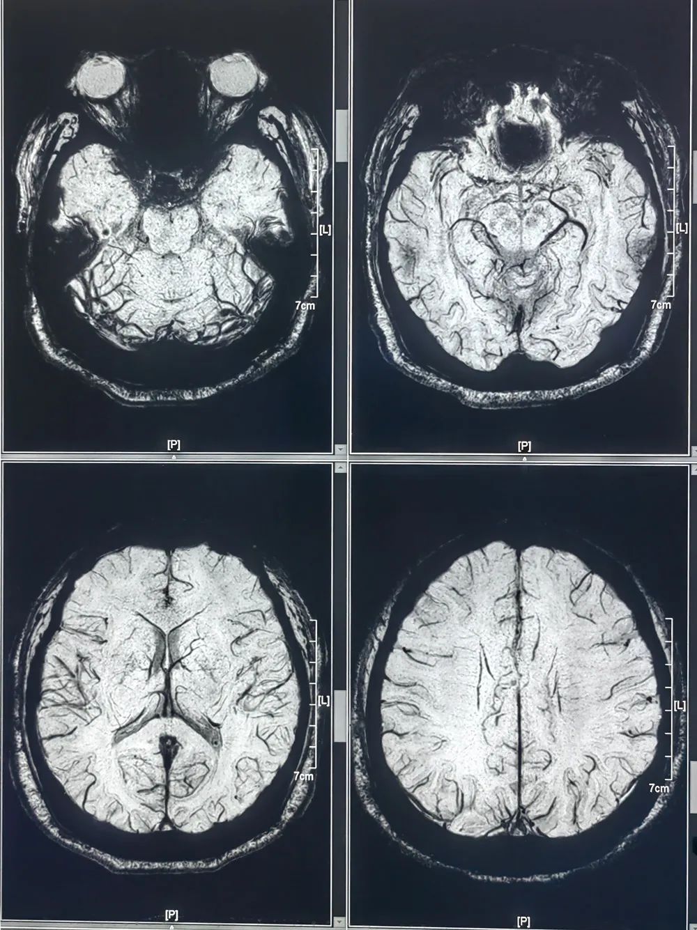
脑部核磁共振功能较多,“一站式”可分为不同的扫描序列和成像,包括头部核磁平扫(MRI)、脑血管成像(MRA)、弥散成像(DWI)、磁敏感成像(SWI)。MRI可查看颅内是否有脑肿瘤、脑梗塞、发育畸形等疾病;MRA可用来发现颅内动脉瘤、动静脉畸形等血管疾病;DWI常用来判断是否发生急性脑缺血;SWI对微小静脉出血诊断敏感。我院影像科可以通过一次扫描完成脑内占位、血管疾病、脑梗的检查,为临床提供较为全面的诊断依据。

2、为什么老年人要做“一站式”脑部核磁检查?

老年人是高血压、高血脂、糖尿病的高发人群,随着年龄增加,脑动脉硬化、狭窄、脑动脉瘤等发生率增加,而早期脑血管改变不会引起明显的特异症状,容易忽视,一旦发生脑卒中(脑梗塞或出血),后果严重。“一站式”脑部核磁共振检查可以早期发现是否有脑动脉瘤,也可以发现脑动脉是否硬化和狭窄。尽量做到早发现、早干预,从而有效降低脑卒中的发生。

3、“一站式”脑部核磁检查特色优势

01.快速诊断

通过高效的影像处理系统和智能化的诊断流程,能够在短时间内完成影像的采集、处理和诊断工作。24小时人员在岗;上午检查当日出报告,下午检查次日上午出报告,大大缩短了患者等待时间,为及时治疗创造有利条件。

02.专业团队

科室汇聚了一批经验丰富、技术过硬的影像诊断专家,他们在影像诊断领域拥有深厚的学术背景和丰富的临床经验。

03.先进设备

影像科拥有飞利浦3.0T核磁共振成像机(MRI),通过检查能够捕捉到更为精准的影像信息,为诊断提供强有力的技术支持。

04.准确诊断

凭借专业医生的精准解读和高分辨率的影像技术,影像科能够发现微小的病变和早期迹象,精准诊断,有助于及早发现潜在问题,避免耽误病情。

05.多学科合作

影像科与医院内的多个科室保持密切合作,构建了高效的会诊机制。通过多学科的协同合作,患者能够获得一站式诊疗服务,极大地提高了诊疗效率和患者就医体验。

“一站式”脑部核磁检查主要项目

非增强性脑血管成像(MRA)

MRA是一种无创、无辐射、简便经济、精准的脑血管筛查方法,相较脑血管CT三维重建(CTA)和脑血管造影(DSA)则需要注射造影剂,在X射线下辅助完成检查,二者只在进一步确诊脑血管疾病时考虑使用。

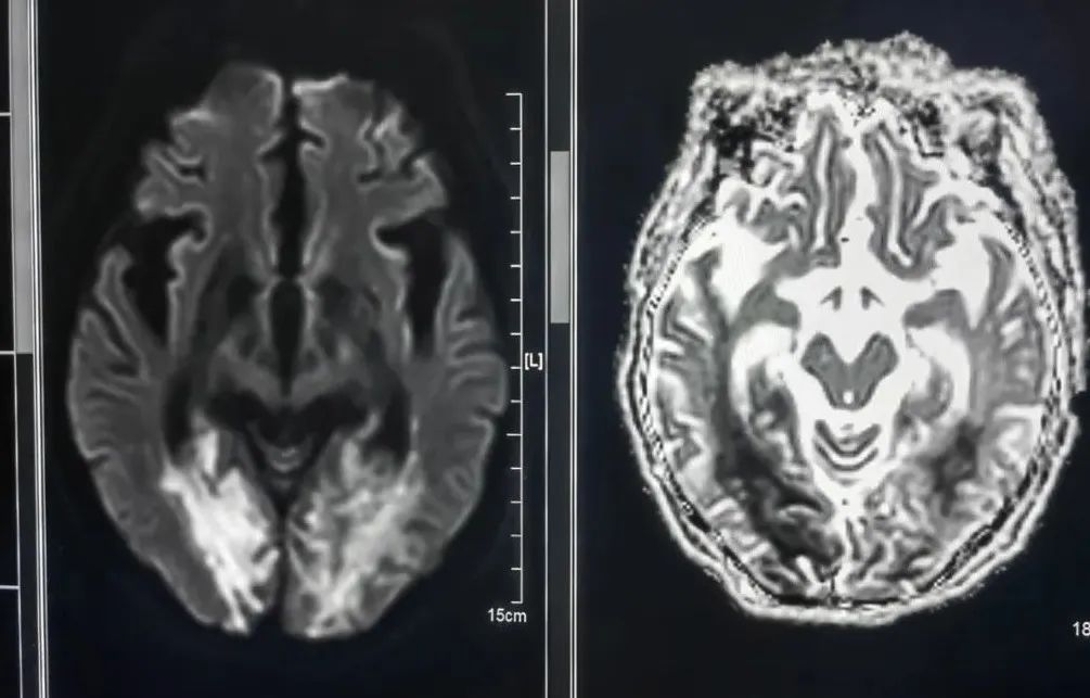
弥散成像(DWI)

DWI可以比作急性期脑缺血的“侦察兵”。能明显早于常规MRI平扫数小时发现脑缺血迹象,是脑缺血疾病筛查的项目之一。

磁敏感成像(SWI)

磁敏感加权成像(SWI)是对磁场均匀性改变的信号采集非常敏感的三维采集成像序列,具有高分辨率、高信噪比的磁共振成像(MRI)三维成像技术,越来越多的用于神经系统疾病的诊断及鉴别诊断。

温馨提示:

凡是符合下列情况者,为脑血管病高危人群,建议定期进行“一站式脑核磁共振检查”:

年龄大于45岁,长期吸烟、酗酒、高血压、高血脂、糖尿病、高尿酸血症、长期熬夜、颈动脉粥样硬化、脑血管病家族史者。

北京精诚博爱医院影像科简介:

北京精诚博爱医院影像科集常规X线、CT、MRI等影像诊断手段,科室拥有数字化摄影机(DDR)、数字床旁摄影机、飞利浦计算机体层摄影机(128排CT)、飞利浦3.0T核磁共振成像机(MRI)等先进检查设备。对患者全身各系统、各部位进行影像学检查,对患者疾病早期发现、早期诊断与早期治疗具有重要意义。科室已经实现全面数字化成像,诊断准确,网络传输,远程会诊,大大缩短候诊时间,优质高效。

影像科现有工作人员近20人,梯队建设合理,学术带头人均有三甲医院工作数十年经验。科室团队均具备丰富的专业知识和临床经验,操作技术娴熟,工作严谨,为每一位患者提供专业、细致的医疗检查服务。

为了不断提高技术水平,科室定期组织学术交流和培训活动,确保每一位医护人员临床接轨,与行业同步。