

近日,海军军医大学第三附属医院(上海东方肝胆外科医院)在多学科团队协作微创消融治疗复杂部位肝癌领域取得重要突破,成功为一名不适宜再次手术切除的青年男性患者实施精准微创消融手术,破解复杂部位肝癌诊疗难题,彰显了医院在该领域的技术领先水平。

钱国军教授团队在手术中
该患者由该院超声介入科钱国军教授收治,此前已接受手术切除等多种治疗,因体内粘连等情况,已不宜再行切除手术。术前评估显示,患者肿瘤位于左叶膈顶,常规经皮穿刺路径无法避开肿瘤前方的血管胆管结构,且呼吸、心跳搏动给消融针精准定位带来极大挑战,稍有不慎便可能误伤膈肌、食管等毗邻重要结构,引发严重并发症。

三维成像显示术前肿瘤和术后消融区覆盖肿瘤
面对诊疗困境,钱国军教授团队集思广益、大胆创新,制定了针对性的个性化治疗方案:提取CT影像大数据构建患者专属“数字肝脏”,通过三维重建及透明化处理,清晰显露肿瘤部位与毗邻组织关系,精准规划安全穿刺路径;借助内窥镜超声放置于肿瘤毗邻食道段,实时监测穿刺深度及消融范围;术前术后均采用腹部超声造影检查,全程保障治疗疗效。
手术当日,在精准实施麻醉后,内镜超声被准确置于肿瘤毗邻食道部位,超声诊疗科专家通过腹部彩超造影迅速锁定肿瘤位置。钱国军教授按照预设路径,在双超声多角度、多界面实时引导下,迅速将消融针置入肿瘤最佳位置并启动消融程序,接近200摄氏度的中心温度使消融区域快速覆盖肿瘤,整个手术仅耗时二十余分钟。

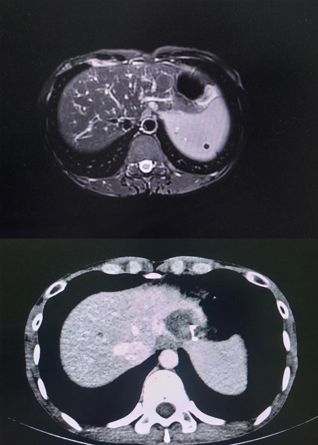
术前术后影像资料对比
术后即时造影确认,患者肿瘤组织被完整消融,毗邻重要器官结构毫发无损,术后增强CT扫描及三维重建检查进一步证实,肿瘤已实现完整消融,手术取得圆满成功。
此次手术的成功实施,不仅为该患者提供了安全有效的根治性治疗选择,更标志着医院在多学科协作微创消融治疗复杂部位肝癌领域实现重要突破,有效破解了传统治疗中“看不见、摸不准”的难题,为同类复杂病例的诊疗提供了宝贵经验,将进一步推动复杂部位肝癌微创治疗技术的发展,惠及更多肝癌患者。