众力资讯网

“咔嚓”一声断了,有人骨折、有人手臂扭麻花!全国最大规模斗腕大赛杭州五年举办八届,为什么选手“零受伤”?

“来,掰个手腕!”

这项看似“爷们儿”的力量对决,背后隐藏的风险和故事,远超你的想象。

有人为此骨折、有人手臂扭成了麻花。

连日来,江苏一小伙与人斗腕把手腕掰骨折,状告比赛对象的案子,引发公众关注。

橙柿记者了解到,而这样的赛事,在杭州连续举办了五年,成为全国斗腕运动最大的赛场。

但五年来历经八届赛事,无一人受伤,这是怎么做到的?

斗腕事故杭州多有发生

大学生斗腕被送进了急救室!

掰手腕掰骨折?听起来不可思议,但确实发生在我们身边。

今年暑假里,22岁的大学生阿琦和朋友们开心聚餐。

酒过三巡,气氛正嗨。看到同行的朋友小邢,阿琦突然来了兴致,提议:“咱俩掰个手腕,比比力气?”

一场即兴的力量对决就此展开。两人双臂紧锁,青筋暴起,谁也不肯服输。

就在僵持不下、众人屏息凝神之际,一声清脆的“咔嚓”声突然响起!

伴随着这声异响,一阵钻心的剧痛从阿琦右臂传来,他瞬间败下阵来,冷汗直流。

朋友们被这突如其来的一幕吓坏了,赶紧将阿琦送往浙江省中医院钱塘院区。

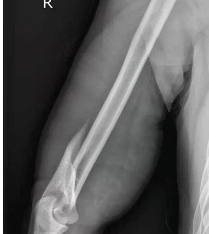
急诊骨伤科医生查体后发现阿琦的腕关节手指背伸困难,诊断结果让所有人倒吸一口凉气:“右肱骨干骨折,合并桡神经损伤!”

类似大学生阿琦的斗腕事故,往年也发生过,橙柿互动也报道过:杭州一个30岁小伙在酒后掰手腕,结果“咔嚓”一声骨头被拧成了麻花!

小伙小马在街边烧烤摊上和朋友小聚。酒过三巡,有朋友起哄要比比谁的力气更大,于是提议掰手腕,小马第一个上“擂台”。

朋友们一声令下,小马便使出浑身力气全力应战。

僵持了半分钟后,小马猛然发力攻其不备,忽然,“咔嚓”一声响,小马的右手臂传来一阵剧烈疼痛,之后就再也动弹不得了。

情急之下,朋友们七手八脚将他就近送到了杭州市第一人民医院急诊科。

经拍X光片检查:肱骨干断裂。

更惊人的是,何先生断掉的肱骨好似麻花一样,呈现螺旋形状。

为何掰手腕这么容易受伤?浙江省中医院骨伤科医生李飞揭开了谜底——

恐怖的“剪切力”:掰手腕时,我们手臂的肌肉会瞬间爆发出强大的收缩力,这股力量会沿着我们的上臂骨骼(肱骨)传导。

肱骨的中下段就像一根筷子最容易被掰断的位置,它非常不耐“扭转”和“剪切”。

当姿势不当,强大的力量持续对抗时,肱骨就可能像被硬生生掰断的树枝一样,发生螺旋形骨折。

医生还提醒说,肌肉越强,风险越高。这是一个反直觉的知识点!

在僵持过程中,肌肉越发达,产生的剪切力就越大,骨骼承受的压力也就越大。

相比之下,儿童和老人的肌肉力量较弱,反而不容易产生足以导致骨折的强大力量。

所以,这项游戏对“大力士”们,其实更危险。

小伙逛公园掰手腕掰成骨折

法院一纸判决“自愿承担风险”

今年4月一天傍晚,苏州某公园健身器材区附近热闹非凡,有一伙人围在一起掰手腕。

小伙小李路过,被现场热烈的气氛吸引,越看越激动,主动走上前对连胜几局的小林说,“哥,我也想跟你练一练,试试臂力!”

两人相对坐在石凳上,肘部抵紧桌面、双手紧握,在围观者一声“开始”的口令下,两人各自发力进入较量环节。

前期对峙角力中,小林屏住呼吸,持续发力中曾数次将小李手腕压近至桌面,但小李并未就此认输。

两人到了第四、五次角力时,双方都继续发力,但场面依然僵持。

突然,小李感到右臂一阵剧痛,面色陡然大变,再也无法发力。

小林见状立即松手,见小李疼痛难忍,当即拨打了120急救电话。不久后,救护车将小李送往医院急诊室。

医院确诊小李为“右侧肱骨干骨折”,累计花费医疗费3.4万余元。

出院后,小李认为小林对此负有责任,于是找到小林协商赔偿事宜。

两人就责任归属与赔偿金额争执不下,报警、协商都以失败告终。

5月中旬,小李整理好住院病历、医疗费票据、报警记录等材料,向苏州工业园区法院提起诉讼,要求小林赔偿1.7万余元医疗费。

法院审理认为,根据《中华人民共和国民法典》第一千一百七十六条第一款的规定:“自愿参加具有一定风险的文体活动,因其他参加者的行为受到损害的,受害人不得请求其他参加者承担侵权责任。

但是,其他参加者对损害的发生有故意或者重大过失的除外。

本案中,掰手腕以力量角逐为核心,客观存在肌肉拉伤、骨骼断裂等潜在风险,符合“具有一定风险的文体活动”的特征。

小李作为完全民事行为能力人,主动邀约并在多次处于劣势后仍继续角力,应认定为“自愿承担活动风险”。

小林正常参与角力,无故意或重大过失,无需承担侵权责任。

综上,法院判决驳回小李的全部诉讼请求。目前该判决已生效。

审案的法官指出,掰手腕属于一种民间自发性文体活动,此类活动是社会活力的重要源泉,司法不宜过度介入活动规则之中,应为活动参加者卸下沉重的枷锁。

该案的审理,清晰地界定了民间自发性竞技活动的责任边界,为公众参与文体活动提供了明确的行为指引。

杭州形成全国最大赛事

但举办五年以来零受伤!

腕力比赛,是兼具智慧与力量的双人竞技体育运动。

在裁判的一声声令下中,一对对大而有力的手,像两把虎钳子一样紧紧地“咬”在一起。

这项运动最早的记录,源于西汉时期,两个武士较量腕力的精彩事迹,被记录在石刻上。

20世纪中期,第一个职业化斗腕联赛在美国加州举办。

1977年,WAF世界腕力联合会成立并制定了统一的世界斗腕规则,自此开始在全世界掀起斗腕风暴。

2019年,斗腕公开赛作为国际A类体育赛事首现深圳,斗腕正式进入“中国时代”。

从2021年开始,萧山区楼塔镇人俞永明,开始在家乡举办全国腕力大赛。

楼塔人将全国性的赛事引进到杭州,每年都要比一比:谁是全国手劲最大的人……

今年5月31日,他们又举办了第五届全国腕力公开赛。

近200多名参赛者,来自全国十多个省市,还有新加坡、加拿大等国际腕力名将,以及香港地区的顶尖力量。

关于腕力比赛受伤的事,俞永明告诉橙柿记者,今年在诸暨的一次斗腕切磋,发生了一名业余爱好者骨折的事。

这是一次友谊切磋交流,其中一个选手是来自江西的小伙。

“我在直播,看着小伙的姿势不对劲,全身的力量集中在单只手臂上。

“我急忙连声提醒:小伙子你这个办法不对,你这个办法不对,太危险了!

话音未落,“咔嚓”一声脆响,在场的人全听见了!小伙在掰手腕的手臂,立刻挂下来了。

大家立刻拨打120,让急救车送到了诸暨医院。

俞永明指出,这种受伤的事情,在我们楼塔这样的专业比赛中,是绝对不会发生的。

来专业赛场上比赛的,多是专业的腕力运动员,基本常识和专业经验还是具备的。

五年了,五次全国性的腕力公开赛,都是零受伤。

“因为在专业腕力比赛上,没有一定的掰手腕水平,也不敢站上去的,自己有几斤几两,自己心里蛮清楚的。

“平常掰手腕容易受伤的,多是初级选手或普通参赛者。”

俞永明蛮自豪地说,“在之前,全国腕力比赛最热闹最大的是青岛啤酒节,然后是北京上海。

“但现在,全国规模最大影响力最大的,是我们杭州。”

斗腕达人的专业建议……

俞永明是楼塔镇大同一村的村党委书记,本人也是一名掰手腕运动员。

今年,斗腕界的双冠军,俞永明就拿过3次了,双冠军指的是左右手比赛冠军。

今年的楼塔比赛,他的成绩是左手冠军,右手亚军。

除了楼塔比赛,他还会到外地进行友谊比赛,今年到上海湖南等地参加比赛,拿到了双冠军。

对于斗腕的受伤,俞永明认为,如果在掰手腕的过程中,一方已经明确表示认输放弃了,另一方还是在继续发力,造成受伤的话,那要承担责任的。

这样比赛,事先会签承诺书:根据民法典规定,受伤自负。

作为专业的斗腕运动员,俞永明提醒说,避免受伤最关键的一点,是在掰手腕的过程中,要注意方法。

发生骨折有两种原因,第一种和自身身体素质有关,比如骨质疏松,但造成的受伤人数比例很少。

第二种是受伤最多的:掰手腕的姿势不对,发力太孤立了。光用一只手去发力,没有用到小臂大臂、肩部和背部,斗腕是要这些部位同时发力的。

这个不仅仅是技巧和经验,更是掰手腕的基本知识。

另外,比赛前热身一定要做足,充分活动手腕、肘部和肩关节。

比赛一定要量力而行,一旦在过程中感到任何疼痛或不适,必须立刻停止。

如果听到异响或感觉剧痛,千万不要随意移动或揉捏受伤手臂。

立即用书本、木板、衣物等做简易固定,并第一时间前往正规医院就诊。

全国腕力比赛的资深裁判赵余君告诉橙柿记者,事实上,斗腕在杭州的历史也蛮久了!最早的比赛可以追溯到2002年6月份。

五年来,杭州其实举行了8次全国性赛事:五届楼塔全国腕力公开赛、三届江浙沪腕力单挑赛。

江浙沪腕力单挑赛是实力比较接近的人,一对一单挑。

八届赛事,没有一人受伤,怎么做到的?

赵余君介绍,首先,这样的比赛,对参赛选手有一定要求,必须具备一定安全意识和常识。不会像日常的业余比赛,对参赛者几乎没有任何要求。

参赛前,主办方需要对每一个选手进行宣传教育,要求鉴定承诺书,熟知民法典关于这方面的规定。

赛事举行了五年,每一届主办方在安全方面都是小心谨慎。

在民法典出台规定前,各地举行这样的赛事,都是小心翼翼,生怕有人受伤,甚至积极性也受到影响。

民法典相关规定出台后,大家的积极性越来越好。

杭州楼塔的比赛,目前是中国规模最大的腕力比赛了,在全国排行榜来讲,参与人数是最多的。