图2:完整取出的甲状腺,可以看到体积明显肿大,表面布满静脉网状结构,颜色不均,质地紧实。
在桥本中,甲状腺早期通常表现为“无痛性肿大”,很容易被忽视,尤其是在儿童或女性中。
图1:切面标本,这张图展示了右叶、左叶及峡部的连续横切面:
正常甲状腺应为淡褐色、柔软肉质状
当前可见组织变为苍白、均质,结构模糊
说明大部分腺体已被免疫反应破坏,呈现出炎细胞浸润或纤维化改变
特别是右叶,比左叶破坏更严重
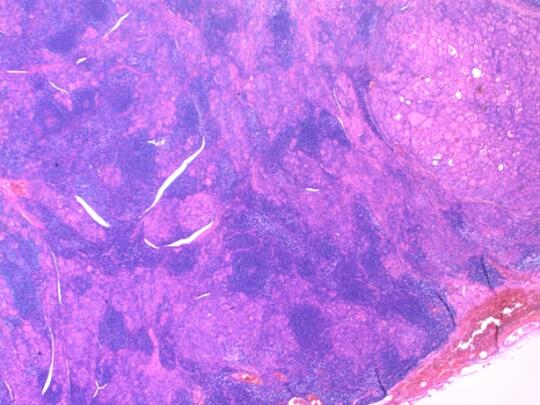
图3和图4:显微镜观察
图3低倍镜下:整个腺体结构几乎被淋巴细胞浸润所取代,右上角仍残留一小块正常腺泡组织。
图4高倍镜下:大片一致性的小型淋巴细胞包围着零星残余的甲状腺滤泡(右下角),正常甲状腺的组织结构被严重破坏并替代。
图5:错误饮食在桥本上“火上浇油”
饮食不是疾病的起点,但可能是症状恶化的加速器。
现实中,不仅是成年人,儿童也可能罹患自身免疫性甲状腺病。最近咨询中有一粒1粒小朋友格雷夫斯。而桥本的前期甚至可能没有任何症状,很多是在偶然的抽血检查中发现。
图6:如何判断自己是不是存在桥本或格雷夫斯病,及分辨格雷夫斯病(甲亢)和桥本的区别。
PS:最近更新有点拖沓,咨询有点多,没时间出视频。图文发现更快速和直观点。
桥本 桥本甲状腺炎饮食记录 甲减 甲亢 甲状腺困扰 甲状腺结节困扰 格雷夫斯 格雷夫斯病 甲状腺结节的症状表现





